Έλλειψη Ύπνου & Εγκέφαλος: Γιατί “Χάνουμε” την Προσοχή μας;

Μια νέα μελέτη αποκαλύπτει τι συμβαίνει στον εγκέφαλο όταν δυσκολευόμαστε να συγκεντρωθούμε μετά από μια νύχτα αϋπνίας. Όλοι έχουμε βιώσει αυτή την αίσθηση…
Όταν η έλλειψη ύπνου μας κάνει να “χάνουμε επαφή”, ο εγκέφαλος αποβάλλει εγκεφαλονωτιαίο υγρό (ΕΝΥ), το οποίο περιβάλλει τον εγκέφαλο και τον νωτιαίο μυελό και αποτελεί μέρος του συστήματος αποβολής αποβλήτων του εγκεφάλου. Σύμφωνα με τη μελέτη, που δημοσιεύθηκε στις 29 Οκτωβρίου στο περιοδικό Nature Neuroscience, αυτό το ΕΝΥ επιστρέφει στον εγκέφαλο όταν ξαναβρίσκουμε την προσοχή μας.
Αυτές οι διαταραχές της προσοχής που προκαλούνται από την κόπωση συνοδεύονται επίσης από μαζικές αλλαγές στη ροή του αίματος και στο μέγεθος της κόρης του ματιού, σύμφωνα με τη μελέτη. Μέχρι τώρα, δεν ήταν γνωστό ότι αυτές οι φυσιολογικές αντιδράσεις λειτουργούν παράλληλα όταν ο εγκέφαλος “αποσυντονίζεται” από την εξάντληση.
“Μετρώντας τόσες πολλές διαφορετικές πληροφορίες για τον εγκέφαλο την ίδια στιγμή, μπορέσαμε να δούμε ότι αυτά τα πολλά διαφορετικά πράγματα που αρχικά νομίζαμε ότι ήταν ξεχωριστά, στην πραγματικότητα κινούνται μαζί”, δήλωσε η Laura Lewis, αναπληρώτρια καθηγήτρια νευροεπιστήμης στο MIT και συν-συγγραφέας της μελέτης.
Ο ανεπαρκής ύπνος είναι ζωτικής σημασίας για τη διατήρηση ενός υγιούς εγκεφάλου, και οι ειδικοί συνιστούν στους ενήλικες να κοιμούνται επτά έως εννέα ώρες κάθε βράδυ. Η έλλειψη ύπνου έχει αντίκτυπο στην ψυχική και σωματική υγεία ενός ατόμου και επίσης επηρεάζει την ικανότητά μας να δίνουμε προσοχή. “Ωστόσο, η νευρική βάση των διαταραχών της προσοχής που προκαλούνται από τη στέρηση ύπνου δεν είναι ακόμη καλά κατανοητή”, έγραψαν οι συγγραφείς στη μελέτη.
Πως έγινε η έρευνα για την έλλειψη ύπνου
Για να διερευνήσουν το ζήτημα, στρατολόγησαν 26 υγιείς εθελοντές ηλικίας 19 έως 40 ετών – εκ των οποίων οι 19 ήταν γυναίκες. Όλοι οι συμμετέχοντες έλαβαν μέρος σε δύο συνθήκες μελέτης με διαφορά περίπου 10 ημερών: καλά ξεκούραστοι και στερημένοι από ύπνο. Οι μισοί ολοκλήρωσαν πρώτα τη συνεδρία ξεκούρασης, ενώ οι άλλοι ξεκίνησαν με στέρηση ύπνου.
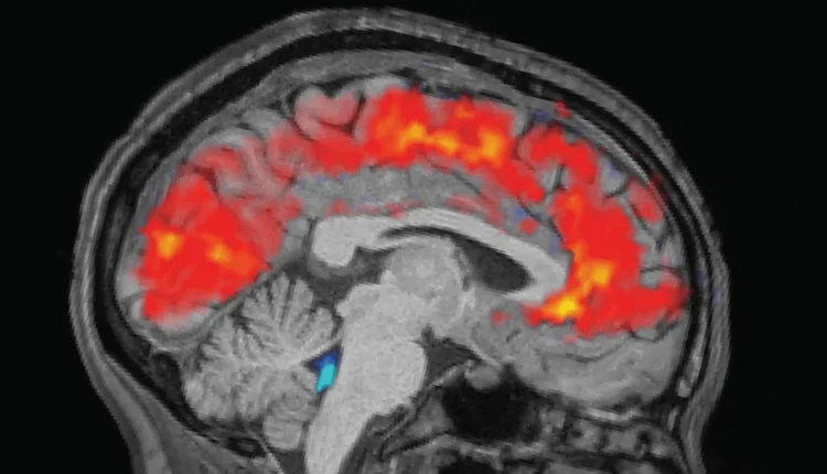
Τα ξεκούραστα άτομα κοιμήθηκαν για 6,5 έως 9 ώρες στο σπίτι, ενώ τα άτομα που στερήθηκαν τον ύπνο έμειναν ξύπνια όλη τη νύχτα στο εργαστήριο. Το πρωί πριν από κάθε δοκιμή, η ομάδα στερέωσε ηλεκτροεγκεφαλογραφικά (ΗΕΓ) καπέλα στους συμμετέχοντες για να καταγράψει τα εγκεφαλικά τους κύματα με ηλεκτρόδια. Ταυτόχρονα, οι συμμετέχοντες υποβλήθηκαν σε σαρώσεις λειτουργικής μαγνητικής τομογραφίας (fMRI) για να αποκαλύψουν μοτίβα στη ροή αίματος και ΕΝΥ στον εγκέφαλο. Οι ανιχνευτές ματιών μέτρησαν το μέγεθος της κόρης των ματιών των συμμετεχόντων.
Οι συμμετέχοντες στη συνέχεια ολοκλήρωσαν εργασίες που δοκίμαζαν την οπτική και ακουστική τους προσοχή. Πατούσαν ένα κουμπί μόλις έβλεπαν μια εικόνα ή άκουγαν έναν θόρυβο. Επιπλέον, οι ερευνητές συγκέντρωσαν δεδομένα σχετικά με τη βασική εγκεφαλική δραστηριότητα ζητώντας από τους συμμετέχοντες να ξεκουραστούν για 25 λεπτά χωρίς να κάνουν καμία εργασία.
Τα αποτελέσματα για την έλλειψη ύπνου
Όπως αναμενόταν, οι συμμετέχοντες χρειάστηκαν περισσότερο χρόνο για να παρατηρήσουν τα ερεθίσματα όταν ήταν κουρασμένοι και έχασαν τα σημάδια συχνότερα από ό,τι όταν ήταν καλά ξεκούραστοι. Αλλά η ομάδα εξεπλάγη όταν είδε γιγάντιους παλμούς ΕΝΥ στα εξαντλημένα άτομα, παράλληλα με μοτίβα αργών εγκεφαλικών κυμάτων – και τα δύο παρατηρούνται συνήθως στον ύπνο non-REM.
Συγκεκριμένα, τα μοτίβα έμοιαζαν με αυτά που παρατηρούνται όταν ένα άτομο μεταβαίνει από το στάδιο Ν1 στο Ν2, τα δύο πρώτα από τα τρία στάδια ύπνου non-REM που βιώνουν οι άνθρωποι κατά τη διάρκεια κάθε ύπνου. “Αυτό ήταν κάτι που προηγουμένως είχαμε δει σε αυτή την κλίμακα μόνο κατά τη διάρκεια του ύπνου”, δήλωσε η Lewis.
Η ροή του ΕΝΥ συνδέθηκε στενά με το μέγεθος της κόρης του ματιού, με τη μεγάλη εισερχόμενη ροή να ακολουθεί τη διαστολή της κόρης και την εξερχόμενη να έρχεται μετά τη συστολή της κόρης. Αυτή η σύνδεση ήταν πιο έντονη στα άτομα που είχαν στερηθεί τον ύπνο, γεγονός που θα μπορούσε να υποδηλώνει ότι το κυκλοφορικό σύστημα του σώματος στηρίζει αυτή τη σύζευξη, έγραψαν οι συγγραφείς. Οι ροές του ΕΝΥ συνέπεσαν επίσης με τις στιγμές που τα άτομα “έχαναν” την προσοχή τους κατά τη διάρκεια των εργασιών.
“Όταν έχετε αποτυχίες προσοχής… αυτό το υγρό αποβάλλεται από τον εγκέφαλό σας και όταν ανακτάτε την προσοχή, όταν αρχίζετε να ανταποκρίνεστε ξανά στα ερεθίσματα, αυτό το υγρό ρέει πίσω στον εγκέφαλό σας”, δήλωσε ο Zinong Yang, υπολογιστικός νευροεπιστήμονας στο MIT και πρώτος συγγραφέας της μελέτης.
Οι ερευνητές πιστεύουν ότι τα εγκεφαλικά μοτίβα που βλέπουν μπορεί να αντανακλούν τον εγκέφαλο που έχει στερηθεί τον ύπνο και μεταβαίνει σε μια κατάσταση παρόμοια με τον ύπνο, αλλά ενώ είναι ακόμα ξύπνιος. Οι διακοπές στην προσοχή σηματοδοτούν την έναρξη αυτών των εγκεφαλικών διεργασιών που μοιάζουν με ύπνο, αλλά διακόπτονται πριν αρχίσει ο κανονικός ύπνος.
Ωστόσο, προς το παρόν, ο λειτουργικός λόγος πίσω από τις τεράστιες αλλαγές στη ροή του αίματος δεν είναι σαφής, σημείωσε η Lewis. Μελλοντικές εργασίες θα μπορούσαν να εξετάσουν εάν και πώς αυτά τα μοτίβα επηρεάζουν την απομάκρυνση των τοξικών μεταβολικών αποβλήτων από τον εγκέφαλο, έγραψαν οι συγγραφείς.
Ο Michael Chee, διευθυντής του Κέντρου Ύπνου και Γνώσης στο Εθνικό Πανεπιστήμιο της Σιγκαπούρης, ο οποίος δεν συμμετείχε στη μελέτη, δήλωσε ότι η έρευνα είναι “ένα εντυπωσιακό κομμάτι φυσιολογικής εργασίας”. Πιστεύει ότι το αυτόνομο νευρικό σύστημα, το οποίο ελέγχει τις ασυνείδητες σωματικές λειτουργίες, οδηγεί αυτά τα σήματα.
Ωστόσο, ο Chee τόνισε ότι οι συμμετέχοντες υπέστησαν 24 ώρες στέρησης ύπνου, ενώ οι περισσότεροι άνθρωποι χάνουν μόνο λίγες ώρες ύπνου σε μια κακή νύχτα. “Αυτή είναι μια βαριά χειραγώγηση”, είπε, οπότε “είναι υπερβολικά αποτελέσματα”.
Η μελέτη αυτών των εγκεφαλικών αλλαγών σε άτομα με προβλήματα ύπνου θα μπορούσε να υποδείξει νέους θεραπευτικούς στόχους, πρόσθεσε ο Chee.
Συχνές Ερωτήσεις (FAQ)
Τι μπορώ να κάνω για να βελτιώσω την ποιότητα του ύπνου μου;
- Δημιουργήστε ένα σταθερό πρόγραμμα ύπνου, πηγαίνοντας για ύπνο και ξυπνώντας την ίδια ώρα κάθε μέρα.
- Δημιουργήστε ένα χαλαρωτικό ρουτίνα πριν από τον ύπνο, όπως ένα ζεστό μπάνιο, διάβασμα βιβλίου ή διαλογισμό.
- Αποφύγετε την καφεΐνη και το αλκοόλ πριν τον ύπνο.
- Βεβαιωθείτε ότι το υπνοδωμάτιό σας είναι σκοτεινό, ήσυχο και δροσερό.
Πόσες ώρες ύπνου χρειαζόμαστε πραγματικά;
- Γενικά, οι ενήλικες χρειάζονται 7-9 ώρες ύπνου κάθε βράδυ. Τα παιδιά και οι έφηβοι χρειάζονται ακόμη περισσότερες.
Μπορεί η έλλειψη ύπνου να επηρεάσει τη μνήμη μου;
- Ναι. Η έλλειψη ύπνου μπορεί να επηρεάσει αρνητικά τη μνήμη, τη συγκέντρωση και την ικανότητα μάθησης.