Νέα μέθοδος για ανίχνευση καρκίνου του πνεύμονα σε πρώιμο στάδιο

Μια νέα διαγνωστική μέθοδος, που ονομάζεται φασματική ιστοπαθολογία και διευκολύνει την ανίχνευση επιμέρους υποτύπων του καρκίνου του πνεύμονα, αναπτύχθηκε από ερευνητές του Πανεπιστημίου του Μπόχουμ.

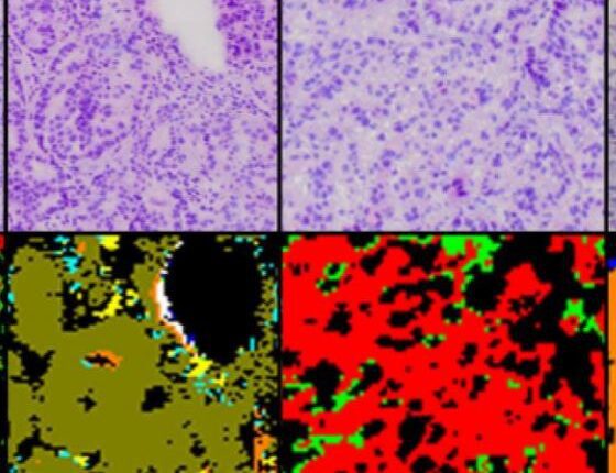
Η μέθοδος που εφαρμόστηκε με επιτυχία σε συνεργασία με κλινικούς γιατρούς στην Ruhrlandklinik στο Έσσεν είναι ουσιαστικά μια διαδικασία αυτοματοποίησης της απεικόνισης που κατατάσσει συγκεκριμένες μορφές του καρκίνου του πνεύμονα και διευκολύνει την πρόγνωση σχετικά με την επιθετικότητα του όγκου.

Η ομάδα με επικεφαλής τον καθηγητή του Πανεπιστημίου του Μπόχουμ δρα Klaus Gerwert, συνέκρινε τα αποτελέσματα των παραδοσιακών διαγνωστικών διαδικασιών με εκείνα της φασματικής ιστοπαθολογίας, στο περιοδικό Analyst.

«Η διάκριση μεταξύ των διαφορετικών υποτύπων του καρκίνου του πνεύμονα είναι απαραίτητη για την πρόγνωση σχετικά με την εξέλιξη της νόσου», εξηγεί ο δρ Gerwert.

«Η ακριβής διάγνωση των υποτύπων του όγκου επιτρέπει στους γιατρούς να αναπτύξουν εξατομικευμένη ιατρική και να εξειδικεύσουν τη στόχευση της θεραπείας ως εκ τούτου αυτή θα μπορεί να είναι πιο αποτελεσματική», υποστηρίζει.

«Η ερευνητική ομάδα συνέκρινε τα αποτελέσματα που αποκτήθηκαν μέσω της φασματικής ιστοπαθολογίας με εκείνα των παραδοσιακών μεθόδων διάγνωσης και βρήκε πως τα αποτελέσματα της φασματικής ιστοπαθολογίας ταίριαζαν τέλεια με τη διάγνωση των παθολόγων», λέει η δρ Αngela Kallenbach-Thieltges.

Μάλιστα, η ακρίβεια της φασματικής ιστοπαθολογίας (SHP) για την ανίχνευση υποτύπων του καρκίνου του πνεύμονα όπως το αδενοκαρκίνωμα είναι υψηλότερη από 92% σε σύγκριση με την παραδοσιακή ιστοπαθολογία. Οι περαιτέρω μελέτες σε μεγαλύτερες ομάδες ασθενών θα βοηθήσουν στην επικύρωση της μεθόδου.

«Στο μέλλον, θέλουμε να βελτιστοποιήσουμε το σύστημα και να το προσαρμόσουμε για άλλα συμπτώματα», λέει ο δρ Frederick Großerüschkamp.

lung1

Σε αντίθεση με τις μεθόδους που είναι διαθέσιμες μέχρι σήμερα, η SHP, η οποία έχει πλέον εδραιωθεί πλήρως στο Τμήμα Βιοφυσικής του Πανεπιστημίου του Μπόχουμ, δεν απαιτεί τη βαφή του ιστού με διάφορους δείκτες, προκειμένου να εντοπιστεί ο υπότυπος του καρκίνου.

Οι παθολόγοι συνήθως για τη διάγνωση του καρκίνου του πνεύμονα διεξάγουν μια μικροσκοπική ανάλυση βαμμένων λεπτών τομών από βιοψία πνεύμονα. Συχνά, η διάγνωση δεν μπορεί να γίνει μέχρι το προχωρημένο στάδιο, επειδή τα συμπτώματα εμφανίζονται μόνο όταν η νόσος έχει προχωρήσει πολύ. Η φασματική ιστοπαθολογία, από την άλλη πλευρά, ανιχνεύει μοριακές αλλαγές στον ιστό άμεσα, ιδιαίτερα τις μεταβολές πρωτεϊνών, χωρίς να είναι απαραίτητη καμία βαφή. Καθώς λειτουργεί με ακτίνες φωτός, το τμήμα λεπτού ιστού από τη βιοψία μπορεί να εξεταστεί στη συνέχεια με άλλες μεθόδους, ιδιαίτερα με αναλύσεις γονιδιώματος ή πρωτεώματος.

Τα αποτελέσματα της φασματικής ιστοπαθολογίας μπορούν να βοηθήσουν τους χειρουργούς στη λήψη θεραπευτικών αποφάσεων κατά τη διάρκεια της χειρουργικής επέμβασης. Για το λόγο αυτό πρέπει να καταστεί δυνατόν να αναπτυχθεί ανίχνευση φασματικής ιστοπαθολογίας στο χειρουργείο. Τα δεδομένα απ’ αυτήν θα μπορούσαν να παρέχουν στους παθολόγους μια δεύτερη γνώμη για την ενίσχυση των διαδικασιών λήψης των αποφάσεών τους.

Μπορεί επίσης να σας αρέσει