Ποιοι είναι οι παράγοντες κινδύνου για τους όγκους του εγκεφάλου

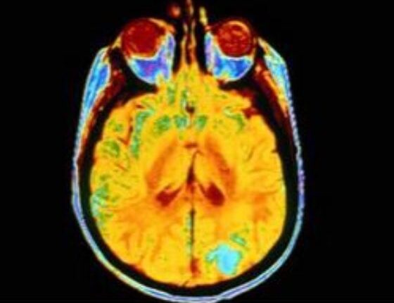
Ο όγκος του εγκεφάλου εμφανίζεται όταν τα μη φυσιολογικά κύτταρα στο εν λόγω όργανο αναπαράγονται με ανεξέλεγκτο τρόπο. Ωστόσο, δεν ξεκινούν όλοι οι όγκοι του εγκεφάλου υποχρεωτικά από το συγκεκριμένο όργανο.
Οι πρωτογενείς όγκοι του εγκεφάλου αναπτύσσονται αποκλειστικά από κύτταρα του εγκεφάλου, ενώ οι δευτερογενείς όγκοι του εγκεφάλου ξεκινούν από ένα άλλο μέρος του σώματος και στη συνέχεια εξαπλώνονται στον εγκέφαλο.
Σύμφωνα με την Αμερικανική Ένωση Εγκεφαλικών Όγκων οι όγκοι του εγκεφάλου είναι η δεύτερη κύρια αιτία θανάτου από καρκίνο σε άνδρες ηλικίας από 20 έως 39 ετών και η πέμπτη κορυφαία αιτία θανάτου των γυναικών της ίδιας ηλικίας.
Κατανοήστε τους παράγοντες κινδύνου για την ανάπτυξη όγκων του εγκεφάλου που θα μπορούσαν να σχετίζονται με την υγεία σας.
Η έκθεση σε ακτινοβολία
Η έκθεση σε μη φυσιολογικά επίπεδα της ιονίζουσας ακτινοβολίας θα μπορούσε να αυξήσει τον κίνδυνο καρκίνου του εγκεφάλου. Για παράδειγμα, σε ασθενείς οι οποίοι έχουν υποβληθεί σε θεραπεία με ακτινοβολία στον εγκέφαλο για την αγωγή άλλων καρκίνων του εγκεφάλου, υπάρχει αυξημένος κίνδυνος να αναπτύξουν όγκους στον εγκέφαλο αργότερα στη ζωή τους. Άλλες μορφές ακτινοβολίας δεν έχει αποδειχθεί ότι έχουν οποιαδήποτε σχέση με τη συχνότητα των όγκων στον εγκέφαλο. Υπάρχει πολλή συζήτηση, για παράδειγμα, για την πιθανότητα η χρήση των κινητών τηλεφώνων να μπορεί να αυξήσει τον κίνδυνο για όγκους του εγκεφάλου, αλλά κάτι τέτοιο δεν έχει αποδειχθεί προς το παρόν επιστημονικά, καθώς οι μέχρι τώρα μελέτες έχουν καταλήξει στο συμπέρασμα πως η χρήση των κινητών τηλεφώνων είναι ασφαλής.
Φυλές και ηλικία
Ο κίνδυνος ανάπτυξης όγκου στον εγκέφαλο αυξάνεται όσο μεγαλώνει κανείς. Σύμφωνα με την Mayo Clinic, αν και οι όγκοι του εγκεφάλου μπορούν να εμφανιστούν σε οποιαδήποτε ηλικία, είναι πιο συχνοί σε ενήλικες μεγαλύτερης ηλικίας. Ορισμένοι τύποι όγκων του εγκεφάλου, όμως, κανονικά εμφανίζονται μόνο στα παιδιά. Επιπρόσθετα, οι όγκοι του εγκεφάλου, τείνουν να εμφανίζονται πιο συχνά στους ενήλικες της Καυκάσιας φυλής απ’ ό,τι στις υπόλοιπες φυλές.
Οικογενειακό ιστορικό
Περίπου 5% των όγκων του εγκεφάλου συμβαίνουν όταν υπάρχει οικογενειακό ιστορικό όγκων εγκεφάλου ή όπου υπάρχει ιστορικό γενετικών συνθηκών που θα μπορούσαν να αυξήσουν τον κίνδυνο αυτό. Σύμφωνα με την Αμερικανική Αντικαρκινική Εταιρεία, αν ένας από τους γονείς ή τα αδέλφια έχουν διαγνωστεί με μία από αυτές τις γενετικές παθήσεις, τότε υπάρχει αυξημένος κίνδυνος που ενδέχεται αργότερα να οδηγήσει σε ανάπτυξη όγκου στον εγκέφαλο. Αυτές οι προϋποθέσεις περιλαμβάνουν την νευροϊνωμάτωση τύπου 1 και 2, τη νόσο Von Hippel-Lindau και την οζώδη σκλήρυνση.
Έκθεση σε ορισμένα χημικά
Η Mayo Clinic συμβουλεύει τους εργαζόμενους σε ορισμένους κλάδους που βρίσκονται σε αυξημένο κίνδυνο για όγκους του εγκεφάλου, λόγω τακτικής έκθεσής τους σε χημικές ουσίες, να κάνουν συχνά εξετάσεις. Αυτοί οι κλάδοι αφορούν την έκθεση σε βινυλοχλωρίδιο, που χρησιμοποιείται στην κατασκευή των πλαστικών. Βεβαίως, αξίζει να σημειωθεί πως οι μελέτες που αξιολόγησαν τη σχέση μεταξύ των χημικών αυτών ουσιών και τον αυξημένο κίνδυνο καρκίνου του εγκεφάλου δεν ήταν σε θέση να συντάξουν ένα οριστικό συμπέρασμα. Ομοίως, η ασπαρτάμη, μια γνωστή τεχνητή γλυκαντική ουσία, καθώς και τα ηλεκτρομαγνητικά πεδία από γραμμές μεταφοράς ενέργειας, έχουν θεωρηθεί πιθανοί παράγοντες κινδύνου, αλλά δεν υπάρχουν επιστημονικές αποδείξεις που να αποδεικνύουν κάποια σύνδεση. Ωστόσο, οι προληπτικές εξετάσεις δεν βλάπτουν κανέναν.
