Νέο πειραματικό μοντέλο δίνει ελπίδες σε ασθενείς με τη νόσο του Πάρκινσον

Ερευνητές από τη Βόννη αναπαρήγαγαν μοτίβο της άλφα-συνουκλεΐνης που δίνει σημαντικές πληροφορίες για την εξέλιξη της νόσου του Πάρκινσον.
Στη νόσο του Πάρκινσον η πρωτεΐνη «άλφα-συνουκλεΐνη» συναθροίζεται και συσσωρεύεται μέσα σε νευρώνες. Συγκεκριμένες περιοχές του εγκεφάλου επηρεάζονται σταδιακά όσο η νόσος αναπτύσσεται και προχωρά. Ο μηχανισμός πίσω από αυτή την παθολογική εξέλιξη είναι ελάχιστα κατανοητός, αλλά συμπεράσματα μπορούν να εξαχθούν από την εξάπλωση της πρωτεΐνης (ή τις ανώμαλες μορφές της) κατά μήκος των νευρικών προεξοχών που συνδέουν τις χαμηλότερες με τις ανώτερες περιοχές του εγκεφάλου.
Επιστήμονες από το Γερμανικό Κέντρο Νευροεκφυλιστικών Νοσημάτων στη Βόννη έχουν αναπτύξει ένα νέο πειραματικό μοντέλο που αναπαράγει για πρώτη φορά αυτό το μοτίβο της άλφα-συνουκλεΐνης, καθώς εξαπλώνεται στον εγκέφαλο και παρέχει σημαντικές ενδείξεις σχετικά με τους μηχανισμούς που διέπουν αυτή την παθολογική διαδικασία. To αποτέλεσμα ήταν να δρομολογήσουν την παραγωγή ανθρώπινης άλφα-συνουκλεΐνης στον κάτω εγκέφαλο ενός αρουραίου και ήταν σε θέση να εντοπίσουν την εξάπλωση αυτής της πρωτεΐνης προς τις ανώτερες περιοχές του εγκεφάλου. Το νέο πειραματικό μοντέλο θα μπορούσε να oδηγήσει προς την κατεύθυνση της παύσης ή της επιβράδυνσης της εξέλιξης της ασθένειας στον άνθρωπο. Η ερευνητική ομάδα με επικεφαλής τον καθηγητή Ντονάτο Nτι Μόντε, παρουσίασε αυτά τα αποτελέσματα στο επιστημονικό περιοδικό EMBO Molecular Medicine.
Η νόσος του Πάρκινσον είναι μια διαταραχή του νευρικού συστήματος. Εκδηλώνεται συνήθως με κινητικά προβλήματα, όπως ένα ανεξέλεγκτο τρέμουλο των άκρων, καθώς και μη κινητικά συμπτώματα, όπως διαταραχές του ύπνου και κατάθλιψη.
Επί του παρόντος, δεν υπάρχει θεραπεία για τη νόσο του Πάρκινσον, αν και μπορούν να γίνουν παρεμβάσεις, όπως η θεραπεία με αγωνιστές ντοπαμίνης (φάρμακα τα οποία μιμούνται τη δράση της φυσικής ντοπαμίνης στον εγκέφαλο), που μπορεί να ανακουφίσει ασθενείς που έχουν κινητικές βλάβες. Το Πάρκινσον είναι η δεύτερη πιο κοινή νευροεκφυλιστική διαταραχή, μετά από τη νόσο του Αλτσχάιμερ. Υπολογίζεται πως περίπου 100.000 έως 300.000 ασθενείς πάσχουν από τη νόσο του Πάρκινσον μόνο στη Γερμανία.
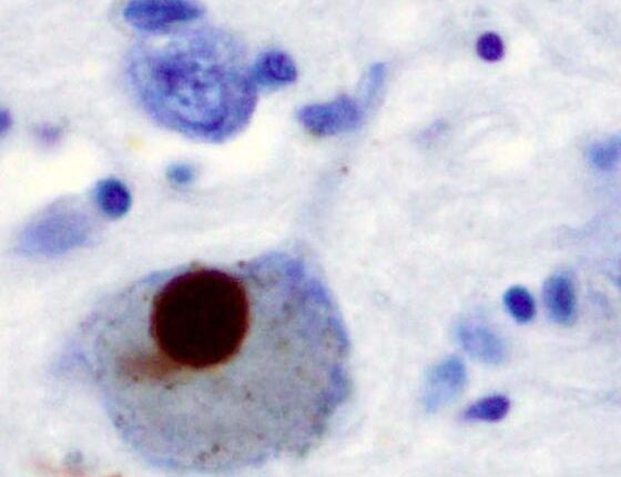
Σε ένα μικρό ποσοστό των περιπτώσεων, η νόσος του Πάρκινσον οφείλεται σε γενετικές ανωμαλίες που μεταφέρονται εντός των οικογενειών. Για τη συντριπτική πλειοψηφία των ασθενών, ωστόσο, η αιτία της νόσου παραμένει άγνωστη. Η ανάπτυξη αυτής της σποραδικής μορφής της νόσου είναι πιθανόν να οφείλεται σε συνδυασμό περιβαλλοντικών και γενετικών παραγόντων κινδύνου. Ενα ενδιαφέρον χαρακτηριστικό του εγκεφάλου ασθενών με σποραδικής μορφής νόσο του Πάρκινσον είναι η προοδευτική συσσώρευση ενδονευρωνικών εγκλεισμάτων που περιγράφτηκαν για πρώτη φορά από ένα Γερμανό νευρολόγο, τον Friedrich Lewy, από τον οποίο πήραν την ονομασία τους ως σωμάτια Lewy.
«Μια σημαντική ανακάλυψη στα τέλη της δεκαετίας του ’90 ήταν πως τα σωμάτια Lewy σχηματίζονται όταν αρχίζει να συσσωρεύεται η πρωτεΐνη άλφα-συνουκλεΐνη. Από τότε διαπιστώθηκε επίσης ότι τα μεγέθη της άλφα-συνουκλεΐνης σταδιακά συσσωρεύονται μέσα στους εγκεφάλους των ασθενών κατά τη διάρκεια της ασθένειας», λέει ο Ντι Μόντε.
Μελέτες παθολογίας που έχουν γίνει σε ανθρώπινους εγκεφάλους δείχνουν πως οι καταθέσεις άλφα-συνουκλεΐνης συνήθως αρχίζουν να σχηματίζονται στο κατώτερο μέρος του εγκεφάλου, σε μια περιοχή που ονομάζεται «προμήκης μυελός» (medulla oblongata). Στα επόμενα στάδια της νόσου οι συσσωρεύσεις της άλφα-συνουκλεΐνης παρατηρούνται σε προοδευτικά υψηλότερες περιοχές του εγκεφάλου, συμπεριλαμβανομένου του μεσεγκεφάλου (midbrain) και σε περιοχές του φλοιού.
«Αυτή η διάδοση φαίνεται να ακολουθεί ένα τυπικό μοτίβο που βασίζεται σε ανατομικές συνδέσεις μεταξύ των περιοχών του εγκεφάλου. Για το λόγο αυτό υποθέτουμε πως η άλφα-συνουκλεΐνη ή οι ανώμαλες μορφές της μπορούν να μεταφερθούν μέσω δύο διασυνδεδεμένων νευρώνων και μ’ αυτόν τον τρόπο μεταναστεύουν σε όλο τον εγκέφαλο. Αλλά μέχρι τώρα δεν υπήρχε τρόπος να στοχεύσουμε στον προμήκη μυελό, προκειμένου να αναπαράγουμε αυτή την εξαπλωμένη άλφα-συνουκλεΐνη στο εργαστήριο. Είναι επίσης ασαφές ποιες είναι οι συνθήκες που ενεργοποιούν το πέρασμα της πρωτεΐνης και των συσσωρεύσεών της μέσω των νευρώνων. Εχουμε αναπτύξει ένα νέο πειραματικό μοντέλο που επιτρέπει τις έρευνες πάνω σ’ αυτά τα θεμελιώδη ζητήματα», εξηγεί ο Ντι Μόντε.
Aπό το λαιμό στον εγκέφαλο
To σχέδιο των ερευνητών βασιζόταν στην αναπαραγωγή άλφα-συνουκλεΐνης και την εξάπλωσή της σε αρουραίους. Γι’ αυτό, μετέφεραν το σχέδιο της ανθρώπινης μορφής της άλφα-συνουκλεΐνης στον εγκέφαλο αρουραίων. Το προσχέδιο μεταφέρθηκε με ειδικά σχεδιασμένα ιικά σωματίδια που οι επιστήμονες ενέχυσαν με ένεση στις νευρικές ίνες του λαιμού των ζώων. Ο γενετικός κώδικας για την πρωτεΐνη πέρασε κατά μήκος αυτών των ινών στο προμήκη μυελό, όπου οι νευρώνες των αρουραίων άρχισαν να παράγουν μεγάλες ποσότητες της ανθρώπινης άλφα-συνουκλεΐνης.
«Εχουμε βάσιμους λόγους να πιστεύουμε ότι στον προμήκη μυελό αναπτύσσεται σε πρώτη φάση η νόσος. Αυτός είναι ο λόγος που θέλαμε να ενεργοποιήσουμε την παραγωγή της άλφα-συνουκλεΐνης σ’ αυτό ειδικά το μέρος του εγκεφάλου. Στον προμήκη μυελό είναι δύσκολο να φτάσει κανείς, μέσω της χειρουργικής διαδικασίας. Γι’ αυτό το λόγο εγχέουμε τα ιικά σωματίδια εντός του πνευμονογαστρικού νεύρου. Πρόκειται για ένα μεγάλο νεύρο που εκτείνεται από την κοιλιακή χώρα μέσω του λαιμού έως τον προμήκη μυελό. Το νεύρο αυτό, επομένως, λειτουργεί ως είσοδος στον εγκέφαλο και ειδικότερα στον προμήκη μυελό», εξηγεί ο Ντι Μόντε.
Μια πρωτεΐνη – μετανάστης
Οι ερευνητές παρακολούθησαν την παραγωγή και τον εντοπισμό της ανθρώπινης άλφα-συνουκλεϊνης σε εγκεφάλους αρουραίων σε διάστημα 4,5 μηνών μετά την έγχυση των ιικών σωματιδίων. Οπως είχε προβλεφθεί, η εξωγενής πρωτεΐνη συνετέθη μόνο εντός των νευρώνων του προμήκη μυελού, που συνδέεται με το πνευμονογαστρικό νεύρο. Δύο μήνες μετά, ωστόσο, η ανθρώπινη άλφα-συνουκλεϊνη παρατηρήθηκε επίσης σε περιοχές του εγκεφάλου περισσότερο απομακρυσμένες από τον προμήκη μυελό. Η εξάπλωση περιελάμβανε ενδο-νευρωνικά περάσματα της πρωτεΐνης κατά μήκος συγκεκριμένων οδών των νεύρων και συνοδεύτηκε από μορφολογικές αλλοιώσεις (όπως οιδήματα) των νευρωνικών προεξοχών, τις οποίες είχε καταλάβει η ανθρώπινη άλφα-συνουκλεΐνη.
Στη συγκεκριμένη μελέτη, αναπαράγεται ένα μοτίβο πολλαπλασιασμού της πρωτεΐνης που μοιάζει με την προοδευτική συσσώρευση της άλφα-συνουκλεΐνης στη νόσο του Πάρκινσον. Το σημαντικότερο είναι πως η διαδικασία της διαβίβασης πρωτεΐνης προκλήθηκε από την υπερπαραγωγή της άλφα-συνουκλεΐνης μέσα σε μια συγκεκριμένη περιοχή του εγκεφάλου.
«Η υπερπαραγωγή της άλφα-συνουκλεΐνης συνοδεύει μια ποικιλία συνθηκών όπως η γήρανση, η νευρωνική βλάβη ή οι γενετικοί πολυμορφισμοί, παράγοντες που θα μπορούσαν να οδηγήσουν στην ανάπτυξη της νόσου του Πάρκινσον. Ετσι, τα αποτελέσματά μας υποδηλώνουν μια μηχανιστική σύνδεση μεταξύ παραγόντων κινδύνου της νόσου, αυξημένων επιπέδων άλφα-συνουκλεΐνης, εξάπλωσης της πρωτεΐνης και παθολογική συσσώρευσή της», λέει ο Ντι Μόντε.
Το νέο μοντέλο μιμείται τα γεγονότα που πιθανόν συμβαίνουν στα πρώτα στάδια της παθολογίας της άλφα-συνουκλεΐνης, όταν ακόμα δεν είναι φανερή η εκδήλωσή της, είτε κλινικά (σε ασθενείς), είτε πειραματικά (σε αρουραίους).
«Επομένως, θα αποτελέσει ένα πολύτιμο εργαλείο για την έγκαιρη διερεύνηση των μηχανισμών που θα μπορούσαν να οδηγήσουν στην θεραπευτική παρέμβαση στην παθογένεια της νόσου. Ενδεχόμενη πρώιμη παρέμβαση θα μπορούσε να έχει μεγαλύτερες πιθανότητες αποτροπής ή ακόμα και διακοπής της εξάπλωσης της παθολογίας και της εξέλιξης της νόσου», καταλήγει ο Ντι Μόντε.
